mercoledì 29 maggio 2013

Anamnesi e principali analisi

Anamnesi aggiornata al 11 giugno 2013

Marco è un uomo di 33 anni che ha sempre goduto di ottima salute, almeno fino allo scorso ottobre quando si è ammalato di una malattia neurologica autoimmune molto rara (o unica??). Attualmente è ricoverato presso il reparto di neurologia del II Policlinico di Napoli.
Inizialmente è stata diagnosticata un ADEM da CMV ma, non rispondendo alle cure e analizzando il decorso della malattia, con sempre più frequenti recidive alternati con recuperi che almeno inizialmente erano quasi completi, è stato ipotizzata una Sclerosi Multipla Maligna che però presenta diverse anomalie:
o        alte proteine nel siero,
o        assenza di bande oligloconali nel Liquor,
o        dalle RM risultano lesioni non visibili con il contrasto
o        risposte negative alla cura cortisonica
Il seguente grafico riassume l’andamento della sua malattia e i farmaci assunti nel tempo:

Negli ultimi quattro giorni le condizioni di salute di Marco sono finalmente migliorate, crediamo che stia reagendo bene al Tysabri e per questo ringraziamo i medici del Policlinico di Napoli che hanno avuto l’intuizione giusta. Noi familiari vorremmo comunque continuare a cercare casi simili a quello di Marco per avere maggiori elementi di confronto e magari anche per iniziare a pensare ad un percorso di riabilitazione.
Grazie
Per suggerimenti scrivere a xmarcobiancolife@gmail.com

Bianco Marco, anni 33,
nato a Napoli il 26.04.1980, residente in Pozzuoli, professione dottore commercialista.

ANAMNESI FISIOLOGICA
nato da parto eutocico con allattamento al seno, abitudini alimentari regolari, dieta varia ed equilibrata, nessuna intolleranza dichiarata, non fumatore, non consumatore abituale di alcol, vaccinazioni secondo legge, diuresi fisiologica.

ANAMNESI PATOLOGICA REMOTA
malattie dell'infanzia, nessuna intervento chirurgico, nessun trauma grave, nessuna allergia.

ANAMNESI PATOLOGICA PROSSIMA
NOVEMBRE 2012, circa 20 gg. dopo un episodio di vomito e diarrea, subentra una sintomatologia caratterizzata da disorientamento spazio-temporale, amnesia a breve termine, astenia, parestesie agli arti inferiori e cefalea.

21/11/2012. Viene ricoverato presso il reparto di Medicina Generale dell'UOC S.M. delle Grazie di Pozzuoli dove effettua una TC cranio senza MdC che risulta essere negativa.

24/11/2012. In seguito ad un deterioramento dello stato neurologico (peggioramento dell'amnesia, comparsa di disturbi dell'equilibrio), i familiari decidono di prelevarlo dal suddetto nosocomio e di portarlo all'AORN "Cardarelli" dove i sanitari sottopongono il paziente a: rachicentesi, rx torace, EEG, TC cranio senza MdC. Visto che l'esame chimico-fisico del liquor evidenziava un grave danno della barriera ematoencefalica, il paziente viene trasferito all'Ospedale "Cotugno" con sospetta "ENCEFALITE A LIQUOR LIMPIDO".
allegato A: esame LIQUOR del 24/11.
allegato B: EEG del 24/11.

OSPEDALE COTUGNO: all'ammissione in reparto dall'E.O. risultava GCS 15, no deficit motori, no interessamento nervi cranici, Babinski accentuato bilateralmente, alterazioni della comprensione del linguaggio, TC 37,7 C.
Veniva impostata la seguente terapia:
ZOVIRAX 750 mg x 3,
DESAMETASONE 4 mg x 4,
CEFTRIAZONE 3 gr/die,
GLICEROLO 10% 250 ml,
GARDENALE 100 mg/die.

Dal 24/11 al 15/12: progressivo peggioramento delle condizioni generali e della sintomatologia neurologica. Dagli esami microbiologici, risultava la presenza di IgM anti CMV con PCR DNA-CMV su liquor negativa. I sanitari decidono per un ciclo di GANCICLOVIR per 10 gg a partire dal 5/12
Dal 16/12 al 24/12: continua il progressivo peggioramento delle condizioni generali e della sintomatologia neurologica. I sanitari decidono per un ciclo di gammaglobuline che cominciano a somministrare al paziente in data 19/12 con il dosaggio di 0.4 mg/kg/die per 5 gg.
allegato C: esame LIQUOR del 26/11,
allegato D: esame LIQUOR del 1/12,
allegato E: RM del 26/11,
allegato F: RM del 4/12,
allegato G: RM del 14/12.

28/12/2012. Netto miglioramento del quadro neurologico tanto che la RM con MdC mostra il seguente quadro: "Risolti i nuclei di impregnazione distribuiti sia in sottotentoriale in entrambi gli emisferi cerebellari che in sopratentoriale a livello del corpo calloso e della sostanza bianca della corona radiata".
allegato H: RM del 28/12.

29/12/2012. Il paziente viene dimesso con diagnosi di "ADEM IN PERSONA CON SEGNI DA RECENTE INFEZIONE DA CMV CON ESITO IN S. CEREBELLARE, DEFICIT MOTORIO DELL'EMILATO SINISTRO E DEFICIT COGNITIVO". La terapia domiciliare prescritta prevedeva:  
DELATCORTENE 12,5 mg/die,
RANIDIL 300 mg/die,
GARDENALE 100 mg/die,
ZIRTEC 100 mg/die.

04/01/2013. Al follow-up: "netto miglioramento del quadro EEG nel quale appaiono ridotti i precedenti aspetti di rallentamento pur persistendo attività theta/delta talora ipervoltata nelle aree posteriori di dx. L'E.O. mostra andatura difficoltosa, non coordinata, impossibile a tandem, ROT elicitabili, risposta plantare in flessione, deficit di forza a carico della porzione distale dell'arto superioresinistro, assenza di deficit della sensibilità, prova indice-naso imprecisa a sinistra, nervi cranici indenni. MOCA test 25/30. Continui terapia con FENOBARBITAL. DELTACORTENE a scalare fini alla sospensione entro 2 settimane".
allegato I: referto visita del 4/01/2013.

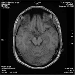
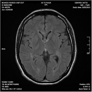
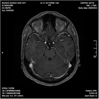
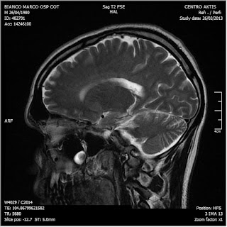
26/03/2013. Ritorna a controllo al Cotugno dove effettua nuova RM con MdC

28/03/2013. Viene dimesso con seguente terapia:
DELTACORTENE 25 mg/die.

10/04/2013. Aggravamento dei sintomi neurologici con ricomparsa di amnesia, sopore e disturbi dell'equilibrio. Rialzo febbrile (TC 38 C).

11/04/2013. Nuovo ricovero presso l'Ospedale Cotugno dove effettua nuova rachicentesi che risulta positiva.

12/04/2013. Ricomincia nuovo ciclo di Immunoglobuline al dosaggio di 0.4 mg/kg/die per 5 gg. Nei giorni a seguire si registra un netto miglioramento dello stato neurologico.

17/04/2013. Viene eseguita RM con MdC.

21/04/2013. Comparsa di otoalgia a sinistra.

22/04/2013. Comparsa di paralisi periferica del VII n.c. a sinistra. Comincia terapia cortisonica endovenosa.

04/05/2013. Grave deterioramento del quadro neurologico, paziente soporoso, poco risvegliabile, GCS inferiore a 9, perdita del controllo sfinteriale.

06/05/2013 Comincia nuovo ciclo di Immunoglobuline al termine del quale non si rinvengono gli stessi miglioramenti ottenuti con l'ultimo ciclo.
Allegato L: Screening neurologico.
Allegato M: esami EMOCROMO del 24/11, 26/11, 27/11, 28/11, 07/12, 12/12, 17/12, 22/12.
09/05/2013 Comincia nuovo ciclo di Ganciclovir durato 10 gg
18/05/2013 A seguito di un nuovo peggioramento delle condizioni comincia nuovo ciclo di Immunoglobuline per 5 gg al termine del quale non si rinvengono gli stessi miglioramenti ottenuti con l'ultimo ciclo.
20/05/2013 Trasferito al Policlinico la nuova diagnosi è “SCLEROSI MULTIPLA MALIGNA” che presenta 4 anomalie:
  • alte proteine nel siero,
  • assenza di bande oligloconali nel Liquor,
  • lesioni non visibili con il contrasto
  • risposte negative alla cura cortisonica
21/05/2013 dall'analisi del siero risulta positiva agli anticorpi anti-JCV
26/05/2013 Peggioramento, non è più in grado di alimentarsi da solo, viene alimentato con sonda gastrica.
27/05/2013 viene somministrato il Tysabri
07/06/13 lievi cenni di ripresa
10/06/13 tolto il sondino gastrico perchè è di nuovo in grado di deglutire

N.B.

per visualizzare le immagini delle RM vai a https://www.dropbox.com/
per accedere
e-mail paolo@studiolegalebianco.it
pass marcobianco
FARE ATTENZIONE A NON TAGLIARE I FILE! ESEGUIRE SOLO COPIE!


Allegato A Esame Liquor del 24/11

Allegato B EEG del 24/11/2012

Allegato C esame Liquor del 26/11



Allegato D esame Liquor del 1/12




Allegato E Referto RM del 26/11

Allegato F Referto RM del 4/11

Allegato G Referto RM del 14/12

Allegato H Referto RM del 28/12

Allegato I Referto visita del 4/1/2013

Allegato  M esami emocromo del 24/11, 26/11, 27/11, 07/12, 12/12, 17/12 e 22/12


























Medical Report

MEDICAL REPORT
Bianco Marco, born 26/04/80
MB is a 33-year-old previously healthy man admitted to our hospital during late November 2012 because of rapidly progressive neurological symptoms (memory loss, change in the behavior) that prompted to an unconscious status when he was sent to our observation. His past medical history was unremarkable until 20 days before our observation when headache and asthenia developed followed by progressive memory loss and hallucination during the next week.
At admission MB was collaborating and reported severe working memory loss. A lumbar puncture was performed at admission and revealed high CSF protein 1620 mg/L, less than 10 cells/mL, and Glucose 83 mg/dl. An MRI showed multiple lesion of the white matter consistent with the diagnosis of Acute Disseminated Encephalomyelitis with slight gadolinium enhancement within the corpus callosum. A wide search of antibodies against common virus involved in such cases revealed the presence of CMV-IgM (his 2-year son was subsequently find to  have CMV-DNA at urine analysis). No evidence was reported by an extensive microbiological evaluation of the CSF including cultures, and search of DNA by PCR of HSV, EBV, HHV6 and of RNA by Enterovirus. No evidence was obtained by general laboratory analysis.
After admission, steroids and acyclovir were administered during a 5-day period before laboratory evidences where available. During this period symptoms worsened and the patients was progressively unconscious and agitated, left-sided hemiparesis developed. Pulse steroid therapy was administered over a 3-day course  (Gancyclovir was associated because of threatened CMV reactivation), symptoms only slightly improved after a 10-day period high dose immunoglobulin were administered with a low-dose steroid therapy. After Immunoglobulin general symptoms improved and the patient returned home. At the discharge from our hospital, there were memory loss, meddle weakness (left>right) and MOCA test score was 19/30 with loss in memory and visu-spatial performance. An MRI of the brain confirmed disseminate white matter lesions without gadolinium enhancement.
During the next 3 months conditions improved and BM returned slowly to his normal working activity until in late march of this year reduction of his left auditory performance was reported. For this reason a new MRI was performed but no new significant finding was reported. The patient was sent home with indication to steroid therapy that was only partially followed, without any significant improvement.
Two weeks after this observation symptoms gradually worsened and an unconscious state developed. The patient was again admitted to our hospital and new MRI and lumbar puncture were performed revealing an increase of CSF protein without new lesion of the brain. Immunoglobulin therapy was started and symptoms improved rapidly. Fifteen days after admission a peripheral palsy of left-sided VII cranial nerve developed and steroids and acyclovir were administered with improvement. A lumbar puncture revealed a decrease without normalization of CSF protein without any evidence of viral or bacterial replication by an extensive evaluation. Thirty days after admission symptoms worsened again until to reach an unconscious state within a 3-day period and low grade fever was reported, a repeat EEG at that time showed mixed theta-delta activity, but ruled out non-convulsive status epilepticus, Immunoglobulin during a 5-day course were again administered and an improvement of neurological findings was observed. Gancyclovir was added on suspicious of CMV reactivation.

His last physical examination shows an improvement of general condition and persistence of behavioral symptoms, laboratory examination does not show abnormalities. 

20/05/2013 Transferred to the Policlinico the new diagnosis is "MULTIPLE SCLEROSIS malignant" which has 4 trips:
• High protein in serum,• the absence of bands in oligloconali Liquor,• lesions not visible with the contrast
• negative responses to steroid treatment
21/05/2013 analysis of the serum was positive for anti-JCV
26/05/2013 Worsening, is no longer able to feed only, is fed by gavage.
27/05/2013 Tysabri is administered

RM del 26/3/2013